Vous avez activé la version contrastée du site. Pour plus d'infos à ce sujet veuillez consulter cette page.
alzheimer
alzheimer
Café de l'innovation : Evolution et révolution de la maladie d'Alzheimer
Mardi 10 octobre 2023, venez découvrir le prochain Café de l'innovation sur le thème : "Evolution et révolution de la maladie d'Alzheimer".
Ce café sera présenté par le Pr Giovanni Frisoni, médecin adjoint agrégé, Département de réadaptation et gériatrie, et responsable du Centre de la mémoire des HUG. Il évoquera des nouveaux médicaments qui peuvent retarder la perte de mémoire et de l’autonomie, des biomarqueurs sanguins et de la prévention secondaire de l’Alzheimer, ainsi que des cliniques mémoire de deuxième génération.
Journée genevoise de l'Alzheimer 2023
Plus de 800 Genevoises et Genevois ont décidé de prendre une part active dans la lutte contre la maladie d’Alzheimer. En tant que partenaires de recherche au Centre de la mémoire, ils ont confié leurs données cliniques, d’imagerie ainsi que des échantillons de leur sang, de leur liquide céphalorachidien et de leurs selles à l’équipe de recherche du centre.
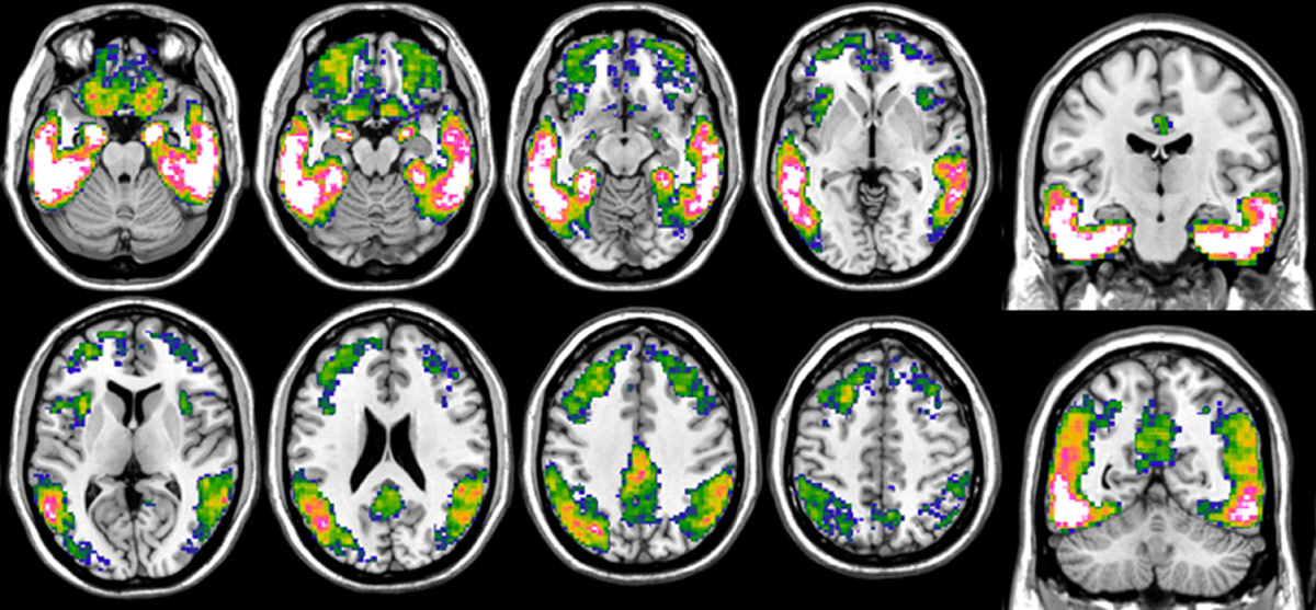
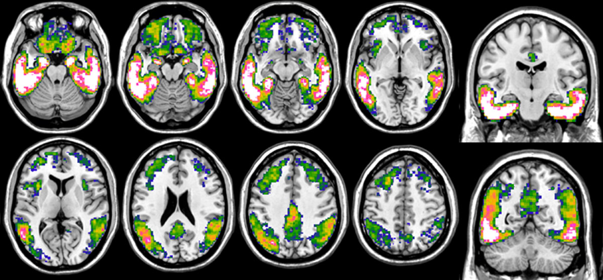
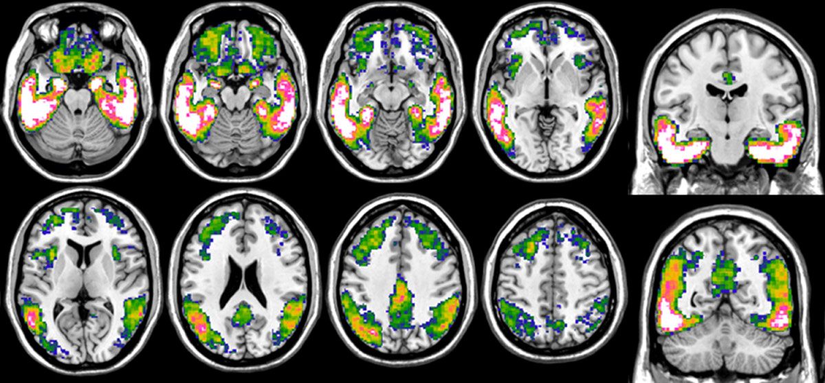
Alzheimer’s disease, one of the most common neurodegenerative diseases, leads to progressive loss of memory and autonomy. It is characterised by the accumulation of neurotoxic proteins in the brain, namely amyloid plaques and tau tangles. Due to the silent development of pathology over decades, very early diagnosis is of utmost importance to be able to take action as early as possible in the disease process.
La maladie d’Alzheimer, l’une des maladies neurodégénératives les plus fréquentes, entraîne une perte progressive de la mémoire et de l’autonomie. Elle est caractérisée par l’accumulation dans le cerveau de protéines neurotoxiques, la plaque amyloïde et la protéine tau. Évoluant à bas bruit pendant des décennies, son diagnostic très précoce est essentiel afin d’intervenir le plus tôt possible dans le processus pathologique.