Communiqué de presse

Tau-PET : une fenêtre sur le futur des patient-es Alzheimer

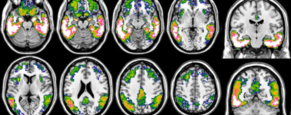
Imagerie de cerveaux de patient-es atteint-es de la maladie d'Alzheimer

La maladie d’Alzheimer, l’une des maladies neurodégénératives les plus fréquentes, entraîne une perte progressive de la mémoire et de l’autonomie. Elle est caractérisée par l’accumulation dans le cerveau de protéines neurotoxiques, la plaque amyloïde et la protéine tau. Évoluant à bas bruit pendant des décennies, son diagnostic très précoce est essentiel afin d’intervenir le plus tôt possible dans le processus pathologique. Une équipe de l’Université de Genève (UNIGE) et des Hôpitaux universitaires de Genève (HUG) a démontré que le PET tau - une technique d’imagerie très récente permettant de visualiser la protéine tau - est capable de prédire le déclin cognitif des patient-es, mieux que les techniques d’imagerie habituellement utilisées. Ces résultats, à lire dans la revue Alzheimer’s & Dementia: The Journal of the Alzheimer’s Association, plaident pour l’introduction rapide de cet examen dans la routine clinique afin d’apporter aux malades des solutions précoces et individualisées.

À l’heure actuelle, l’un des principaux outils de diagnostic de la maladie d’Alzheimer est la tomographie par émission de positons (TEP ou PET selon l’acronyme anglais), une technique d’imagerie où l’injection de traceurs permet de visualiser les processus pathologiques spécifiques dans le cerveau. «Le PET consiste à injecter aux patient-es un traceur faiblement radioactif disparaissant de l’organisme en quelques heures. Ces éléments sont conçus pour se lier aux molécules humaines que l’on souhaite détecter, afin de les rendre visibles par PET scan de manière très sensible», détaille Valentina Garibotto, professeure associée au Département de radiologie et informatique médicale de la Faculté de médecine de l’UNIGE et médecin-cheffe du Service de médecine nucléaire et imagerie moléculaire des HUG, qui a dirigé ces recherches. 

«Des traceurs spécifiques de l’amyloïde existent depuis un certain temps, de même que pour suivre le métabolisme du glucose, qui indique la capacité du cerveau à utiliser correctement ses ressources énergétiques. Cependant, la maladie d’Alzheimer est complexe et ces deux techniques ne suffisent pas à apporter toutes les réponses.»


Comparer les techniques d’imagerie


Le Flortaucipir est un radiotraceur se liant à la protéine tau mis au point par une compagnie pharmaceutique et approuvé en 2020 par la Food and Drug Administration (FDA). Il permet d’observer son accumulation dans le cerveau, et surtout sa distribution, et d’évaluer précisément son rôle dans la manifestation clinique de la maladie.

Les scientifiques de l’UNIGE et des HUG ont voulu déterminer quelle modalité d’imagerie — PET amyloïde, PET du métabolisme du glucose ou le nouveau PET tau — permet de mieux prédire le futur déclin cognitif dû à la maladie d’Alzheimer. Quelque 90 volontaires ont été recruté-es parmi les patient-es du Centre de la mémoire des HUG. 

«Nos résultats montrent que si les différents examens PET étaient tous associés à la présence des troubles cognitifs, confirmant ainsi leur rôle en tant qu’indicateurs solides de la maladie d’Alzheimer, le PET tau était le meilleur pour prédire la rapidité du déclin cognitif, même sans symptômes marqués au départ», résume Cecilia Boccalini, doctorante dans l’équipe de la professeure Garibotto et première auteure de l'étude.


Détecter les variations individuelles 

Les plaques d’amyloïde ne s’accompagnent pas forcément de perte cognitive ou de perte de mémoire. Or, la présence de tau va toujours de pair avec des symptômes cliniques. Son absence ou présence est le déterminant principal de la stabilité de l’état d’une personne malade, ou au contraire de sa péjoration rapide. Cependant, sa visualisation par les techniques d’imagerie a été plus compliquée à mettre au point à cause notamment de sa plus faible concentration et de sa structure particulièrement complexe. 

«Cette avancée est déterminante pour mieux prendre en charge la maladie d’Alzheimer. Récemment, des médicaments ciblant l’amyloïde ont démontré des résultats positifs. De nouveaux traitements ciblant la protéine tau semblent aussi prometteurs. En parvenant à détecter la maladie le plus tôt possible, avant que le cerveau ne soit trop endommagé, et grâce aux nouveaux traitements, nous espérons réellement pouvoir faire une différence dans le futur et pour la qualité de vie des malades», souligne Valentina Garibotto. «De même, nous commençons à cartographier la distribution de tau afin de comprendre comment sa localisation sur les différentes régions du cerveau influe sur les symptômes.» En effet, les causes et les différentes étapes de la maladie s’avèrent beaucoup moins uniformes qu’on ne le pensait et la susceptibilité individuelle aux mêmes phénomènes doit être mieux comprise.

Ces résultats plaident donc fortement pour l’intégration du PET tau dans les examens cliniques de routine afin d’évaluer le pronostic individuel et de sélectionner pour chaque malade la stratégie thérapeutique la plus adaptée.

DOI: 10.1002/alz.13355

Contact

Valentina Garibotto
Professeure associée
Département de radiologie et informatique médicale
Faculté de médecine
UNIGE
Médecin-cheffe
Service de médecine nucléaire et imagerie moléculaire
HUG
+41 22 372 72 52
Valentina.Garibotto@hug.ch 

Cecilia Boccalini
Doctorante
Département de radiologie et informatique médicale
Faculté de médecine 
UNIGE
Cecila.Boccalini@unige.ch

Dernière mise à jour : 02/07/2024