Vous avez activé la version contrastée du site. Pour plus d'infos à ce sujet veuillez consulter cette page.
Communiqués de presse
Le service des médias des HUG informe régulièrement les journalistes par le biais de communiqués, de dossiers et de conférences de presse.
Si vous êtes journaliste et souhaitez recevoir nos informations, inscrivez-vous à notre liste de diffusion.
Lundi 26 août 2024
Centre de chirurgie ambulatoire : Juliette Lemaignen nommée directrice
Mercredi 24 juillet 2024
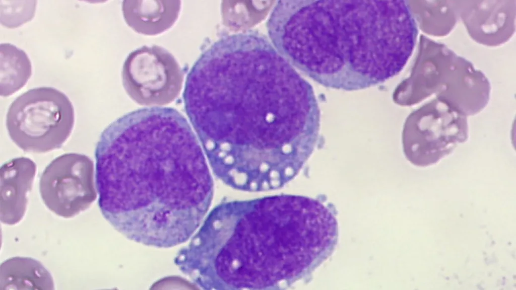
Vaincre la leucémie en ciblant ses cellules souches
Mardi 02 juillet 2024
Pourquoi schizophrénie et apathie vont de pair
Jeudi 27 juin 2024
Pulsations juillet-septembre 2024 vient de paraître
Jeudi 20 juin 2024