Vous avez activé la version contrastée du site. Pour plus d'infos à ce sujet veuillez consulter cette page.
La rétine n’est pas épargnée par le SARS CoV-2
La liste des atteintes causées par une infection au SARS-CoV-2 s’allonge et inclut désormais la rétine. C’est ce qu’avance une étude prospective des Hôpitaux universitaires de Genève (HUG) et de l’Université de Genève (UNIGE), en collaboration avec le Centre de recherche clinique en ophtalmologie du Mémorial Adolphe de Rothschild, en révélant que 11% des personnes hospitalisées pour une détresse respiratoire due à la maladie COVID-19 présentent des atteintes rétiniennes. Cette étude est à découvrir dans la revue Journal of clinical medicine.
Depuis la première vague pandémique du SARS-CoV-2, scientifiques et médecins observent des atteintes neurologiques et vasculaires chez les personnes infectées. La rétine faisant partie du système nerveux et offrant une voie d’observation directe et non invasive vers les vaisseaux, une équipe de recherche des HUG, de l’UNIGE et du Centre de recherche clinique en ophtalmologie du Mémorial Adolphe de Rothschild a réalisé des examens de fond de l’œil chez des patientes et patients, admis au Service de médecine interne des HUG pour des pneumonies dues au COVID-19 et placés sous oxygénothérapie.
« Une photographie du fond de l’œil donne accès au système vasculaire de la rétine, une aubaine pour étudier l’affection des vaisseaux par le COVID-19 de façon aisée», indique Eleonora Riotto, alors étudiante à la Faculté de médecine de l’UNIGE, et première auteure de l’étude portant sur 172 personnes infectées par le SARS-CoV-2.
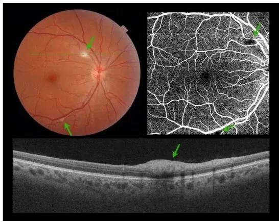
Une rétine tachée de blanc
L’équipe de recherche a réalisé ces fonds d’œil grâce à un appareil photographiant la rétine sans dilatation de la pupille. Ces examens ont révélé des taches blanches sur les rétines dans 11 % des cas. « Ces taches sont connues sous le nom d’exsudats cotonneux (Cotton wool spots). Ce sont des signes de souffrance rétinienne secondaires à une occlusion des petites artères. Elles peuvent être dues à une embolie ou à l’inflammation des vaisseaux de la rétine, une vasculite créant une obstruction au passage du sang et potentiellement une insuffisance d’apport en oxygène et en nutriments. Elles sont surtout observées chez les personnes diabétiques ou hypertendues », précise la Dre Gordana Sunaric Mégevand, directrice médicale du Centre de recherche clinique en ophtalmologie du Mémorial Adolphe de Rothschild et dernière auteure de l’étude.
Une altération corrélée avec le COVID-19
Ces données ont ensuite été croisées avec l’état de santé des personnes et leurs symptômes. Des antécédents de diabète, de surpoids et d’élévation de la protéine C-réactive — dont l’expression reflète une inflammation suite à une infection ou à la lésion de tissus — ont été plus fréquemment observés chez les patients et patientes présentant des exsudats cotonneux. Toutefois, bien qu’une corrélation existe avec le diabète, l’étude montre que près de 64 % des participants et participantes présentant une anomalie de la rétine ne souffraient pas de diabète auparavant.
Même constat pour l’hypertension artérielle, puisque près de 90 % des patients et patientes présentant une lésion de la rétine n’avaient pas d’antécédents d’hypertension pouvant l’expliquer. « Nos résultats plaident donc pour une altération rétinienne principalement due à l’infection virale, bien que les exsudats soient connus pour être la première constatation ophtalmologique d’une rétinopathie diabétique ou hypertendue », indique le Dr Christophe Marti, médecin adjoint au Service de médecine interne générale des HUG, privat-docent au Département de médecine de la Faculté de médecine de l’UNIGE et co-auteur de l’étude.
L’équipe de recherche a ensuite revu chaque patient et patiente, trois mois après son hospitalisation. Elle a constaté que tous les exsudats avaient disparu et que personne ne souffrait de troubles de la vue. « Les personnes participant à l’étude seront suivies pour confirmer ces constatations rassurantes», précise la Dre Gordana Sunaric Mégevand.
Trois causes possibles
L’étude n’investigue pas les causes de ces lésions transitoires de la rétine. Néanmoins, l’équipe de recherche pense que trois mécanismes différents pourraient les expliquer.
Premièrement, une lésion directe des tissus par l’infiltration du virus dans les cellules endothéliales des vaisseaux pourrait provoquer une inflammation et une obstruction vasculaire.
Une seconde explication provient de la potentielle occlusion des artérioles rétiniennes causée par un état d’hypercoagulabilité en relation avec le dépôt de caillots de fibrine observé dans de nombreuses études sur le COVID-19.
La dernière hypothèse suggère que les exsudats se manifestent à la suite de la sous-oxygénation liée à la détresse respiratoire aiguë des sujets de l’étude ou à l’élévation de la pression artérielle typiquement observée dans la phase précoce de la maladie COVID-19.
« Indépendamment de la cause, notre analyse confirme que les vaisseaux rétiniens peuvent être touchés par le virus. La rétine n’est peut-être que le reflet d’une atteinte globale. D’autres études seront nécessaires pour comprendre si l’atteinte rétinienne d’un patient ou d’une patiente positive au COVID-19, peut donner des informations pronostiques sur son état de santé général », conclut la Dre Gordana Sunaric Mégevand.