20ème journée romande de l'IRM

20ème JRIRM
Hors HUG
Evénement
Evénement professionnel

Le Vendredi 8 novembre 2024 à l'occasion de la Journée internationale de la radiologie, se tiendra la 20ème Journée romande de l'IRM. Cet évènement est organisé par la section romande de l'Association suisse des techniciens en radiologie médicale en partenariat avec la Haute école de santé de Genève et les Hôpitaux universitaires de Genève. 

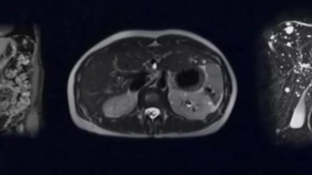
Une édition sur le thème de "l'IRM abdominale à ingérer et digérer" avec au programme exposés, présentation de cas et échanges d'expériences. A cette occasion, plusieurs collaborateurs et collaboratrices des HUG prendront la parole :

  • Physique appliquée à l’imagerie abdominale
    Pr Rares Vincent Salomir, professeur associé en physique médicale, HUG
     
  • Mise au point et évaluation d'une séquence In Phase / Out Phase T1w en respiration libre à 3T 
    Alex Stöckli, technicien en radiologie médicale et référent IRM, HUG
     
  • Utilisation des produits de contraste hépato spécifiques en IRM 
    Eloïse Delacoste, technicienne en radiologie médicale, HUG
     
  • Exploration IRM de l'abdomen pédiatrique : techniques et interprétations 
    Hayat El-Begri Talbi, technicienne en radiologie médicale, référente IRM et chargée de cours, HUG et HEdS
     
  • Sécurité en IRM : Prévention des risques et bonnes pratiques 
    Vitor De Sa Lima, technicien en radiologie médicale et security officer, HUG
     

Inscription

Via le formulaire en ligne et avant le 25 octobre 2024

Informations pratiques

Contact : formation@trm.ch

Lieu : Amphithéâtre de la HEdS, Avenue de Champel 47, 1206 Genève

Prix : CHF 220.-- pour les membres ASTRM, CHF 420.-- pour les non membres. Ce tarif comprend l'ensemble des présentations de la journée, pauses cafés et repas de midi.

Dernière mise à jour : 20/11/2024